Docteur Marie-Josèphe DESHAYES

Marie-Josèphe DESHAYES est médecin et s’est investie exclusivement dans l’Orthodontie ; en même temps, elle a orienté sa recherche dans les processus de croissance au cours de l’Ontogenèse. La croissance de la sphère crânienne est connectée dès le début au processus de flexion de la base crânienne (un processus prenant en compte toutes les pièces du puzzle de la base). Il en résulte qu’elle s’implique dans la construction de la face et de la position des arcades dentaires à l’âge de 3 ans.

Dans son livre  Repérages crâniens, publié en 2000, elle explique que le modelage des structures osseuses est dépendant de courants cellulaires au sein de la base. Ceux-ci dessinent des réseaux similaires à ceux des unités du cerveau en formation. Des relations s’établissent entre les unités de la base crânienne selon un réseau neuronal qui intègre un patron génétique. Des modèles cinétiques apparaissent au sein de chaque os crânien et se caractérisent par leur propre spécificité. Pendant la croissance, l’équilibre cinétique de chaque os évolue : un nouveau remodelage apparaît depuis une échelle microscopique (les courants cellulaires changent) jusqu’à une nouvelle forme macroscopique.

En résumé, le processus de flexion met en présence une série d’activités cinétiques et on peut voir une grande variété de courbures de la base. Quand on fait l’analyse d’une trajectoire de croissance, l’amplitude de l’angle sphénoïdal est une ouverture sur l’évolution du système en cours de remodelage au moment de l’examen. Mais cela n’explique pas le type de mosaïque des cinétiques à la source. Si des dysharmonies dento-faciales apparaissent, elles pourraient être considérées comme des discordances cinétiques au sein des mosaïques crâniennes. Les malocclusions de type Classe II ou Classe III exprimeraient une grande sensibilité à des déstabilisations en période pré ou post-natale. Alors, elles seraient instables quand la croissance faciale se fait : des dysfonctionnements lors de la mise en place de la respiration, de la déglutition, de la mastication, de la production des sons, pourraient avoir un impact négatif. Nous pouvons donc en déduire que la meilleure prévention est celle d’une éducation fonctionnelle la plus précoce.
En parallèle de ces thérapies fonctionnelles, nous devons aussi intervenir sur le remodelage de la base. Nous savons que l’importance de la dysharmonie dépend du type de modèle cinétique de départ (*) et il délivre parfois des désordres importants. C’est dans ces situations que nous valorisons de nouveaux traitements modernes, avant l’âge de 6 ans, parce que nous disposons d’une très courte période pour modifier la trajectoire de croissance : elle se termine approximativement autour de l’éruption de la 1ère molaire permanente (qui est un évènement neurologique lié à la fin de la volumineuse expansion du télencéphale).

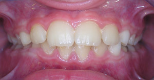
avant traitement à 5 ans
après 1 an de traitement
2 ans après la fin du traitement (évolution spontanée)

L’objectif de ces traitements orthopédiques précoces est principalement justifié en présence d’asymétries. Quand on recherche des petits signes d’asymétrie faciale chez le bébé, on retrouve souvent une asymétrie crânienne (la tête présente un méplat ou une bosse sans synostose prématurée des sutures crâniennes). Nous proposons de traiter en denture de lait ces croissances faciales asymétriques : la symétrisation des structures osseuses a pour effet de limiter la dérive de l’asymétrie qui peut devenir très proéminente. Ces traitements sont soumis à un protocole strict et nécessitent une formation approfondie.