Dans la bouche, tout se joue avant 6 ans

La bouche : un jardin secret à découvrir.

Chez bébé, la langue occupe toute la bouche. Elle se promène dans toute la bouche, elle bouge  même au repos. Si un doigt, un pouce, une tétine viennent la câliner, elle s’active encore plus. Si cela perdure, elle  ne s’enroule plus correctement au moment de la déglutition. Cela va perturber la circulation de la salive, bébé peut baver. Bébé éveillé, la tétine doit quitter la bouche. Dès que possible, surtout quand bébé produit ses premiers mots, elle doit être arrêtée. Quand bébé se tient assis tout seul, le risque de fausse-route s’éloigne. L’introduction d’aliments texturés doit commencer. Le laisser prendre avec sa main une croûte de pain, un légume pas totalement cuit, mettre une grosse bouchée, car sa langue va gesticuler différemment et quitter le stade oral de tétée.

Figure 2 - Poupée du pouce

L’oralité primaire va céder la place à d’autres fonctions. L’apprentissage de la mastication est un moment clé du développement de la bouche. Cela demande du temps, bébé va prendre de la puissance : ses petits muscles masticateurs vont commencer à entrer en action et en compétition avec la langue. Bébé peut se mordre la langue quand ses molaires sortent. Quand les premières dents arrivent sur les arcades, l’arrêt de la succion évite l’apparition d’une béance (absence de contact entre les incisives supérieures et inférieures.

De même que la tétine est arrêtée très tôt, le doudou ne doit pas sortir du lit, le petit pouce sucé est caché avec un petit mouchoir parfumé (pour faire oublier l’odeur de la bouche ou de la salive). Très précocement, l’enfant stimule son attention, mémorise des évènements, crée des nouveaux circuits neuronaux ; mais la tétine maintient des réseaux dysfonctionnels quand il est occupé à "toutouiller". La découverte des aliments texturés stimule les fonctions cognitives quand il découvre les contacts physiques avec la nourriture.

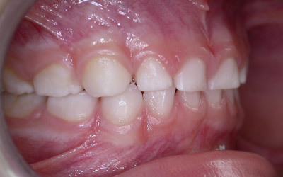
Fig 3a-3b-3c : Classe 1
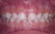
Fig 4 : dents de petit loup

A 3 ans, la bouche est suffisamment  grande pour porter 10 dents temporaires sur chaque arcade. L’enfant sait se tenir parfaitement assis depuis plusieurs mois (bonne posture céphalique au regard de la loi de la gravité) ; il peut fonctionner avec une puissance masticatoire qui lui permet de mastiquer des morceaux texturés (il sait les attraper depuis longtemps avec la main). Les dents de l’arcade inférieure doivent se frotter sous les dents de l’arcade supérieure et commencer à perdre leur aspect pointu : les arcades deviennent « plates ».

Le phénomène d’attrition physiologique va apparaître si on mastique au quotidien  du pain dur, des carottes crues, des pommes etc… Le « mouliné » et les aliments mous n’aident malheureusement pas les muscles à gagner en puissance. Se méfier des petites bouches qui gardent des dents pointues (Figure 4).

La texture des aliments est primordiale : aliments texturés « croquants » comme de très fines rondelles de carottes, croûtes de pain,  lamelles de pommes (ou autres fruits crus), légumes « al dente » etc…  font partie du quotidien. Aliments texturés « visco-élastiques » comme les fruits séchés, la viande séchée etc…Le matin et au goûter, le petit casse-croûte est excellent .

En effet, des « latéralités » masticatoires doivent se mettre en place; elles sont essentielles car elles sollicitent la croissance de la bouche qui n’a que 3 années pour grandir et avoir des arcades d’un périmètre suffisant pour l’arrivée des premières incisives permanentes (vers 6 ou 7 ans). Se souvenir que les bouches de petit « loup » aux dents pointues s’agrandissent trop lentement ; ce sera l’encombrement assuré lors de l’éruption des premières incisives permanentes.

Fig 5 : arcade supérieure

A 4 ans, on se tient assis à table à bonne hauteur sur sa chaise ; l’enfant peut guider la fourchette avec aisance et efficacité. Il sait maintenant mastiquer les lèvres fermées. Le pain est déchiré avec efficacité entre les dents antérieures (les incisives sont appelées les dents du castor). Il tire latéralement son « casse-croûte » entre les canines (dents du tigre). Il mastique avec ses 8 molaires (dents du cheval) sans se mordre la langue (effet naturel de maturation de la gestuelle linguale face aux aliments texturés. Il sollicite une mécanique supplémentaire, celle des articulations de la mâchoire inférieure, et les entraîne à rouler sur le côté : on a des latéralités masticatoires.

Fig 6 : arcade inférieure

 La posture générale et la stabilité pour l’écoute attentive sont favorisées par  la fonction masticatoire ; cela demande du temps pour mastiquer, savoir attendre la sensation de satiété qui n’arrive qu’au bout de quelques minutes de mastication. Cela demande aussi une bonne gestion de la fonction ventilatoire: les respirateurs buccaux n’ont pas de puissance masticatoire.

A 5 ans, la bouche grandit et des petits espaces s’installent nettement entre les incisives temporaires. Le potentiel d’agrandissement est important entre 3 et 6 ans. Bien exercé, un enfant de 5 ans, peut déployer en puissance masticatoire l’équivalent de son propre poids corporel ! Nous sommes loin de cela dans notre société : très peu de puissance, aliments majoritairement mous, repas faits très rapidement et nombre croissant d’enfants qui ont des bouches trop petites…

 

A 6 ans, l’arrivée des 4 premières molaires définitives va définitivement clôturer les relations masticatoires entre les deux arcades dentaires.

En résumé : un nez pour respirer, une bouche pour mastiquer !